Via Nazario Sauro, 1620090 Cesano Boscone MI
Tel 02 4580932
E-MAIL
PEC
ALL-ON-4 GRATIS!
Un'opportunità riservata agli assistiti dai fondi FASI, FASIOPEN e FASCHIM
A tutti i pazienti da questi fondi di assistenza, offriamo la possibilità di riabilitare l'intera arcata edentula con protesi fissa su impianti, mediante i recenti e sicuri protocolli originali All-on-4® senza alcun costo.
Noi ti proponiamo l'originalità del trattamento con impianti Nobel Biocare e la garanzia del risultato.
Il nostro centro, consigliato e referenziato dall'azienda americana leader mondiale, si avvale di laboratori specializzati, anch'essi referenziati, per garantirti l'originalità del trattamento e la garanzia a vita degli impianti inseriti. Tutta la linea produttiva, costituita da materiali, software di diagnosi e programmazione, struttura clinica, struttura tecnica di supporto ed assistenza specializzata, sono certificate da Nobel Biocare.
Ma le sorprese non finiscono qui: nel pacchetto, il nostro Centro, ti offre gratuitamente il protocollo "Nobel Guide" per una miglior programmazione e precisione del posizionamento dei tuoi impianti, con una drastica riduzione dei tempi operativi, un miglior confort successivo all'intervento e la possibilità di avere la protesi in posizione ed utilizzabile in poche ore.
E se non sei un assistito di Fasi, Fasi Open e Faschim vieni comunque a conoscerci per valutare con noi la formula migliore per le tue esigenze, troverai molte offerte e proposte di pagamento e rateizzazione, anche ad interessi zero.
NOBEL GUIDE
Il rivoluzionario sistema per il posizionamento degli impianti in tutta sicurezza
Il rivoluzionario sistema "Nobel Guide", da noi utilizzato, permette il posizionamento degli impianti in tutta sicurezza con la tecnica All-on-4®. Sfutta la precisione digitale per ridurre i tempi di intervento ed i sintomi del postintervento:
- Progettazione digitale su modello 3D realizzato con TAC Cone Beam a bassisima emissione di RX
- Realizzazione di una guida chirurgica che permette l'inserimento dell'impianto nella posizione ottimale
- Riduzione dei tempi operatori del 70-80%
- Posizionamento prevedibile dell'impianto
- Ottimizzazione del risultato protesico
- Possibilità di carico immediato della protesi
- Estrazioni dentali, inserimento degli impianti e montaggio della protesi in meno di 4 ore.
- Clicca per maggiori informazioni sulla tecnica.
- ESTETICA: Gli allineatori sono trasparenti e praticamente invisibili, difficilmente qualcuno noterà che stai riallineando i denti
- COMODITA': Gli allineatori non graffiano e non irritano le mucose, le gengive o il cavo orale
- EFFICACIA: Il riallineamento è progressivo e si nota già dalle prime fasi
- RIMOVIBILITA': Gli allineatori possono essere rimossi per mangiare, bere, lavarsi i denti, passare il filo interdentale o per qualche occasione speciale
- PERSONALIZZAZIONE: Gli allineatori sono realizzati, sulle impronte della tua bocca, sono identificati dal logo Invisalign e dal tuo personal ID
- PROGRAMMAZIONE: La programmazione fatta dal tuo odontoiatra consente, ai tecnici del centro di calcolo di El Paso (Texas), di creare una simulazione che potrai visionare nel tuo studio dentistico per valutare tutti i movimenti che faranno i tuoi denti e concordare gli obiettivi da raggiungere. Le tempistiche sono programmate già dalle fasi di progettazione e sono rispettate in modo molto puntuale. Puoi trovare qualche esempio di casi già risolti alla pagina I nostri Casi Invisalign
- Allontanare dalla zona dell'incidente le persone la cui presenza non è strettamente indispensabile
- Cercare i frammenti dentali o presunti tali, sempre presenti sul pavimento
- Contattare immediatamente il proprio dentista
- Recarsi appena possibile in ambulatorio per la valutazione del danno
- Preservare i frammenti conservandoli in ambiente umido (soluzione fisiologica o saliva)
- Stato delle corone dentali
- Stato dei restauri conservativi (otturazioni) (2)
- Stato dell'osso
- Presenza di tasche ossee
- Presenza di impianti
- Lesioni cariose primarie (4)
- Lesioni cariose secondarie (3)
- Spicole di pericolosissimo tartaro sottogengivale (1)
- Restauri protesici con margini incongrui (5)
Con queste nuove tecniche puoi riavere i denti fissi nel giro di 4 ore.
Richiedi una visita e un preventivo gratuito nel nostro centro di riferimento Nobel Biocare, la tua vita cambierà!
L'importo è completamente finanziabile, vieni a scoprire la modalità di pagamento che fa per te.
Modello 730 Precompilato
La nuova normativa prevede che le strutture sanitarie accreditate, i medici iscritti all'albo dei medici chirurghi e degli odontoiatri e le farmacie inviino al Sistema Tessera Sanitaria, entro il 31 gennaio, i dati relativi alle prestazioni erogate con l'indicazione della spesa a carico dell'assistito.
Tutte le fatture emesse nell'anno 2015 saranno trasmesse, in formato telematico, all'Agenzia delle Entrate, entro il 31 gennaio 2016.
Un ulteriore servizio, questo, che il tuo studio dentistico mette gratuitamente a tua disposizione.
Leggi l'approfondimento alla nostra pagina dedicata al "730 PRECOMPILATO"
SBIANCAMENTO DOMICILIARE
NON SAI COSA REGALARE AD AMICI E PARENTI PER NATALE?
PERCHE'; NON PROPORRE LORO UN TRATTAMENTO SBIANCANTE PRESSO IL NOSTRO STUDIO?
IL NATALE E'; ALLE PORTE E QUEST'ANNO DESIDERIAMO FESTEGGIARE CON TE IN ANTICIPO!
APPROFITTA DELL'OFFERTA SUI TRATTAMENTI DI SBIANCAMENTO DOMICILIARE
"A NATALE REGALA UNO SBIANCAMENTO"
Le immagini proposte sono tratte dal sito ufficiale OPALESCENCE.
FAI FELICI I TUOI CARI, DONA LORO UN NATALE BIANCO COME LA NEVE!
CONVENZIONE CADIPROF
CA.DI.PROF. aderendo al progetto sperimentale "Dentista per la Famiglia" con il quale CA.DI.PROF., per il periodo 1.1.2015 / 31.12.2016, amplia l'offerta delle prestazioni alla Riabilitazione protesica tramite impianto osteointegrato e ai Trattamenti ortodontici per i figli tra i 6 e i 14 di età.
Il progetto ha la finalità di garantire ai dipendenti degli studi professionali iscritti alla Cadiprof (medici, avvocati, notai, architetti, commercialisti, ..., complessivamente circa 350 mila) un contributo economico a fronte di prestazioni odontoiatriche di qualità per se stessi e per la propria famiglia, fino ad ora non rimborsate, continuando a rivolgersi al proprio dentista ANDI.
Il progetto congiunto ANDI - Cadiprof è stato ideato per andare incontro alle richieste dei pazienti iscritti ai Fondi integrativi e prevede il pagamento diretto da parte del paziente.
Ulteriori informazioni sono reperibili alla pagina "PROGETTO DENTISTA PER LA FAMIGLIA".
Un servizio in più che IL VIVAIO mette a disposizione dei propri pazienti.
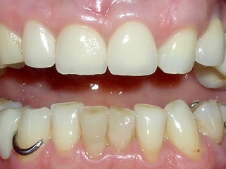
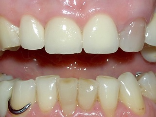
PROTESI SU IMPIANTI?
PERCHE' VOLARE IN CROAZIA QUANDO A MILANO PUOI SPENDERE MENO?
GRAZIE AD UN'ATTENTA REVISIONE DEI TEMPI OPERATIVI E GRAZIE AD ACCORDI CON LE AZIENDE PRODUTTRICI, RIUSCIAMO A PROPORTI LA PROTESI SU IMPIANTI, CON UNA RIVOLUZIONARIA E COLLAUDATA METODICA, AD UN PREZZO MAI VISTO MANTENENDO INALTERATA LA QUALITA'
La protesi totale si muove?
Vorresti smettere di usare gli adesivi?
Vorresti poter mangiare qualsiasi cibo?
Vorresti smettere di sentirti in imbarazzo nel parlare per la paura che la protesi si stacchi?
In altre parole, vorresti riavere i tuoi denti fissi come una volta?
Con le nuove metodiche implantologiche si possono montare intere arcate su un numero ridotto di impianti anche in bocche edentule da anni e con scarso osso a disposizione.
Le protesi possono essere avvitate direttamente sugli impianti riducendo notevolmente i costi di fabbricazione.
Con queste nuove tecniche puoi riavere i denti fissi nel giro di 24 ore.
Richiedi una visita e un preventivo gratuito, la tua vita cambierà!
L'importo è completamente finanziabile, vieni a scoprire la modalità di pagamento che fa per te.
FACCETTE DENTALI
Un rapido rimedio per migliorare l'estetica del tuo sorriso.
Segui un caso completo dall'inizio alla fine alla nostra pagina dedicata alle Faccette Dentali.
RILANCIA LA TUA IMMAGINE, VIENICI A TROVARE E RACCONTACI I TUO SOGNI
SECONDA TONNELLATA
Con la collaborazione delle tante persone, che pazientemente hanno attivato la loro raccolta privata presso scuole, famigliari ed amici, siamo riusciti a raggiungere il secondo traguardo, la nostra seconda tonnellata di materiale raccolto (un volume pari ad una piccola stanza delle nostre comuni abitazioni riempita fino al soffitto). I tappi continuano a confluire presso i centri di raccolta dove, una volta lavorati, vengono ritrasformati in nuovi tappi ed in altri innumerevoli oggetti di uso quotidiano.
Con questo importante progetto, contribuendo alla conservazione delle materie prime, generiamo i fondi necessari per la creazione di pozzi idrici in Tanzania CMSR, centrando simultaneamente due importanti obiettivi sociali.
Invisalign è una nuova tecnica di allineamento dentale ideata negli Stati Uniti alla fine del secolo scorso in seguito ad una geniale intuizione di due studenti di Ingegneria. Nell'ultimo decennio, questa metodica, ha aggiunto molteplici vantaggi alle classiche tecniche ortodontiche e, grazie anche al suo continuo sviluppo, è stata esportata in tutto il mondo. Rispetto alle sistematiche tradizionali possiamo elencare un certo numero di vantaggi:
IL VIVAIO A MILANO
E' con vivo piacere che comunichiamo ai nostri pazienti l'avvio di una collaborazione presso un importante studio odontoiatrico di Milano, in Corso Concordia, 5.
Riteniamo che questa iniziativa, che vede protagonista lo staff del Vivaio, possa agevolare coloro che abitano o che lavorano in città.
La nuova sede si trova in una posizione assolutamente strategica, sia per quanto riguarda i collegamenti alla rete dei mezzi pubblici che alla viabilità di quelli privati. Difatti lo studio è situato nei pressi di Corso Monforte e a due passi da Piazza San Babila ma fuori dalla zona "Area C" e pertanto facilmente raggiungibile con mezzi propri.
Per ulteriori informazioni visita il nostro sito alla pagina Il Vivaio a Milano
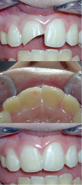
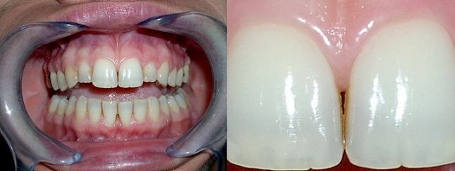
TRAUMI DENTALI
Non è così infrequente che un bimbo, in seguito ad un trauma durante le sue normali attività, si provochi la frattura di un dente. La gravità del danno dipende sostanzialmente dall'età del bambino: se è in età prescolare i denti solitamente interessati sono quelli decidui ed il problema conseguente è per definizione solo temporaneo; raramente gli elementi definitivi sottostanti riportano un danno e ciò avviene solo in caso di forti traumi intrusivi in cui l'elemento deciduo viene spinto dentro l'osso.
Di natura diversa è la gestione delle fratture dentali in età scolare, infatti, dopo i 6 anni, normalmente erompono gli elementi definitivi ed un danno a questi elementi è sempre permanente.
Gli elementi più frequentemente interessati sono gli incisivi superiori, in particolar modo gli incisivi centrali.
Dopo un trauma che porta alla frattura di un elemento dentale occorre:
L'odontoiatra, dopo aver valutato il danno, escluso eventuali fratture, controllato la mobilità e la vitalità degli elementi interessati, provvederà alla pianificazione degli interventi necessari.
Se ci si trova in presenza di esposizione della polpa, come si può vedere nella foto a lato, quest'ultima potrebbe aver subito un danno e potrebbe rendersi necessaria la sua rimozione; se gli elementi traumatizzati presentano mobilità in seguito a microfratture della corticale ossea in cui sono inseriti può rendersi necessario immobilizzarli per un periodo legandoli agli elementi adiacenti.
Frequentemente possono essere presenti concomitanti lesioni lacerocontuse al labbro, in tal caso l'odontoiatra valuterà l'eventualità di posizionare qualche punto di sutura.
Se non è stato possibile rinvenire i frammenti fratturati, la ricostruzione può avvenire in due modi, direttamente in bocca al paziente oppure rilevando un'impronta, facendo eseguire la ricostruzione delle parti mancanti ad un bravo odontotecnico e provvedendo successivamente alla loro cementazione.
Senza dubbio la situazione più favorevole è quella in cui si hanno a disposizione i frammenti originali, in tal caso è possibile, con buona padronanza della tecnica, reincollarli, limitando al massimo le discrepanze di forma e colore, con un risultato molto stabile nel tempo.
Qualora ciò fosse possibile, è sempre di primaria importanza intervenire tempestivamente per risolvere quanto prima il trauma psicologico della perdita dell'integrità dell'immagine di sè. Il piccolo paziente arriva in studio sempre molto preoccupato per il danno permanente che si è creato e riuscire a "cancellarlo" rapidamente, e in modo valido dal punto di vista estetico, crea un immediato giovamento che si riflette positivamente sulla sua salute psicologica e di tutto il nucleo familiare.
LESIONI ENDODONTICHE
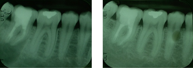
Arriva il momento di andare in vacanza e, a due giorni dalla partenza, complice magari il caldo e lo stress dei bagagli, improvvisamente compare un bell'ascesso. Gli studi odontoiatrici sono chiusi o in chiusura e l'urgenza della sua risoluzione rischia di rovinare il viaggio.
I controlli odontoiatrici e radiografici, anche in assenza di patologia, si rendono necessari proprio per ridurre al minimo l'insorgere di queste fastidiose complicanze. In aggiunta, come si vede nel caso mostrato sopra, affrontare e risolvere una lesione ossea di simili dimensioni non è cosa abituale e si rischia di finire in mani poco esperte o poco motivate alla risoluzione corretta del caso.
In epoca di implantologia facile e di low cost, dove la rapidità delle scelte e la "maneggevolezza" del protocollo operativo possono deviare dal naturale e corretto schema terapeutico riconosciuto dagli studi internazionali, l'elemento mostrato nelle immagini avrebbe potuto, con buone probabilità, essere estratto.
Dedicando il tempo necessario alla diagnosi ed alla terapia e concedendosi il numero di appuntamenti adeguato, in questo caso solo 2 sedute, si è potuto risolvere rapidamente l'emergenza algica e gettare le basi per una soddisfacente guarigione.
Il controllo a 2 anni mostra la quasi totale guarigione della lesione ossea e la presenza di rimineralizzazione della piccola porzione rimanente.
RADIOGRAFIE BITE WING
Le radiografie Bite Wing sono delle normali radiografie endorali che l'odontoiatra utilizza con una speciale tecnica di posizionamento orale in modo da ottenere, con solo due radiogrammi, un quadro diagnostico di primo livello molto esaustivo delle condizioni del paziente e delle patologie in atto nei settori posteriori.
Il grosso vantaggio per il paziente è quello di limitare il tempo di esposizione e la dose, comunque bassissima, di radiazioni assorbita.
Le dosi di radiazioni che si ricevono durante una radiografia endorale, sono normalmente molto basse. Si calcola che la dose annua tollerata per persone che vengono esposte alle radiazioni per ragioni professionali, sia equivalente a quella di circa 8.000 radiografie endorali annue.
Da questo esame si possono trarre numerose informazioni:
.
IL TUO DENTISTA VEDE ABBASTANZA?
Pare che Galileo ci vedesse bene ma pensate che avrebbe potuto studiare il sistema solare altrettanto bene senza l'aiuto del suo telescopio?
La larghezza reale di uno degli incisivi che vedi in foto è di circa 8 millimetri, all'interno di esso sono contenute strutture microanatomiche complesse che il tuo dentista deve vedere per poterle rispettare.
Pensi che sia più facile fare un buon lavoro vedendo con un ingrandimento 5 volte superiore?
Come puoi vedere nell'ingrandimento, tra i due incisivi è presente un notevole quantitativo di placca che non risulta visibile ad ingrandimento normale.
I tuoi denti sono preziosi, assicurati che vengano utilizzate tutte le tecnologie disponibili per salvaguardarli!
CORONE IN ZIRCONIA INDISTRUTTIBILI
La ceramica dentale è il materiale più simile al dente naturale. Il punto debole è la fragilità che tutti i materiali ceramici hanno e che a volte può creare delle fratture insignificanti dal punto di vista funzionale ma fastidiose dal punto di vista estetico, in quanto lasciano trasparire il colore scuro del metallo sottostante.
Con le nuove tecniche CAD-CAM è possibile realizzare, nei settori posteriori, corone in Ossido di Zirconio senza rivestimento ceramico con risultati estetici sovrapponibili alle vecchie corone in metallo ceramica ma con una resistenza incredibile
Guarda nel video la differenza tra le due tecniche, il risultato era inimmaginabile fino a poco tempo fa!
SBIANCAMENTO DENTALE
Il cambiamento di colore di un dente è un segnale importante da non trascurare mai.
Tale evento è quasi sempre associato alla perdita di vitalità dell'elemento ed è sempre la spia di un processo che sta avvenento interamente al dente.
Le cause sono spesso legate ad un trauma avvenuto anche parecchi anni prima, oppure, a pregresse carie, anche già, che hanno innescato il processo involutivo del tessuto pulpare contenuto nel dente. Talvolta è difficle risalire all'evento scatenante proprio per la lunga latenza di tempo che intercorre tra i due eventi.
La perdita di vitalità di un elemento dentale è causata dalla morte del nervo in esso contenuto e, oltre a produrre una decolorazione antiestetica sulla corona visibile, può causare un'infezione nell'osso in corrispondenza della parte terminale della radice. Talvolta questa lesione può diventare cronica e rimanere silente per molti anni ma in altri casi può acutizzarsi provocare un dolorosissimo ascesso.
In altri casi, anche se decisamente più rari, queste lesioni possono trasformarsi in grosse cisti che possono coinvolgere numerosi denti adiacenti e che richiedono veri e propri interventi chirurgici per la loro rimozione.
Una visita di controllo ed una semplice radiografia ci permetteranno di fare una diagnosi completa e di proporre un trattamento adeguato per curare il dente e riportarlo al suo colore naturale.
Tale trattamento è assolutamento indolore e consiste nell'applicazione di sostanze sbiancanti nella parte interna del dente.
Il risultato ottenuto è strettamente dipendente dalla meticolosità con cui la tecnica viene applicata e non è assolutamente invasiva per il paziente. I risultati sono già visibili entro pochi giorni dall'inizio del trattamento.
CONSEGNA PULMINO
Il 28 giugno 2012, nelle bellissima Sala delle Carrozze di Villa Marazzi, si è concluso il progetto "M.G. Mobilità Gratuita" con una cerimonia nella quale è stato consegnato un veicolo attrezzato che i Servizi sociali del Comune di Cesano Boscone utilizzeranno per il trasporto di cittadini diversamente abili, anziani e persone con ridotta capacità motoria. Ancora una volta la sinergia tra l'impresa privata e le organizzazioni locali ha potuto realizzare un progetto sociale che ha sopperito al taglio degli investimenti pubblici ormai giunto a livelli molto poco sostenibili. Vogliamo esprimere i nostri ringraziamenti ai promotori di questa iniziativa per averci dato la possibilità di partecipare e fornire il nostro contributo alla Comunità Cesanese.
.
22 APRILE 2011 - "41º Giornata della Terra"
Il Centro Polispecialistico "IL VIVAIO", in linea con la filosofia perseguita che ci impegna nel ridurre al minimo l'impatto ambientale, si converte completamente all'utilizzo di energia elettrica da fonti rinnovabili.
Visita il sito dedicato alla Terra Giornata Mondiale della Terra e rifletti sulle iniziative proposte.

