Faccette in ceramica

Il sorriso genera da sempre, nei confronti dell'interlocutore, sensazioni, talvolta inconsce, che trasmettono un immagine di armonia e benessere; pertanto un sorriso che non "infastidisca" chi ci sta di fronte è un'arma imprescindibile del successo.
L'estetica del volto, oggetto negli ultimi anni di attente analisi da parte delle numerose branche dell'arte e della medicina, risponde a canoni ben conosciuti e ben standardizzati. L'applicazione di misurazioni e regole quasi matematiche, però, non può non essere accompagnata dal senso estetico degli operatori che, oltre ad individuare la giusta strategia correttiva, non devono abbandonare l'etica del buon senso per evitare di avventurarsi in strade senza via d'uscita.
Per interventi estetici sugli elementi dentali è possibile utilizzare la tecnica, ormai collaudata, delle faccette.
Essa consiste nell'applicazione sulla superficie esterna dei denti di una sottile lamina di ceramica che permette di correggerne forma e colore, modificandone l'aspetto ed armonizzando l'architettura della bocca con il resto del volto.
Per accogliere le faccette i denti devono essere preparati. L'impatto sui denti di questo intervento è minimo e talvolta, se la richiesta è quella di un incremento delle dimensioni dei denti, la quantità di materiale da rimuovere è quasi nulla.
Prima di iniziare è imprescindibile un'attenta analisi estetica degli elementi dentali ed una precisa focalizzazione delle modifiche richieste; procedure queste che devono passare attraverso la rilevazione di impronte, di misurazioni e di fotografie della bocca e dell'intero volto.
Il lavoro congiunto dell'odontoiatra e del tecnico di laboratorio, produrrà una simulazione di quello che sarà il risultato finale ed eventualmente il controllo, direttamente nella bocca del paziente, delle forme e dei colori degli elementi che andranno modificati. In questo modo è possibile visualizzare il risultato finale facendolo osservare ed addirittura provare al paziente stesso per qualche giorno apportando, qualora si rendessero necessarie, le opportune modifiche.
Le ceramiche dentali, utilizzate in questo tipo di ricostruzioni, sono i materiali più simili al dente che l'industria sia riuscita a produrre; presentano caratteristiche ottiche, di trasmissione della luce e di stabilità cromatica, grazie alle quali un bravo odontotecnico è in grado di mimare perfettamente le caratteristiche microscopiche del dente naturale.
Le faccette, al termine della loro lavorazione vengono letteralmente incollate sulle superfici anteriori degli elementi dentali con metodiche collaudate utilizzando materiali dalla capacità adesiva estremamente valida.
Questa tecnica consente di rispondere alle richieste estetiche del paziente in tempi rapidi, sacrificando la minor quantità possibile di materiale organico con un risultato duraturo nel tempo ed altamente biocompatibile.
Quello che presentiamo di seguito è un caso clinico realizzato dalla Dott.ssa Enrica Tessore.




    Visita preliminare
    La paziente si presenta richiedendo il miglioramento dell'estetica del sorriso e la risoluzione della discromia a carico degli incisivi laterali.
    Vengono rilevate le immagini fotografiche per l'analisi estetica del volto e del sorriso e le impronte preliminari per realizzare i modelli studio in gesso sui quali andremo, insieme agli odontotecnici, a definire i criteri estetici e gli obiettivi da raggiungere.











    Analisi estetica
    Sulla fotografia del sorriso cominciamo a definire i contorni e i limiti del futuro restauro, iniziando una prima analisi estetica delle forme e delle simmetrie dentali e delle parabole gengivali.


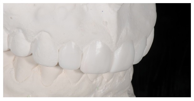
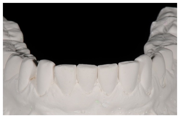
    Ceratura diagnostica
    In laboratorio viene realizzata la ceratura diagnostica correggendo i difetti e modellando le nuove forme.


    Controllo funzionale
    Vengono inoltre controllati il contatto dei denti in posizione di riposo e di movimento per escludere interferenze che potrebbero compromettere la funzione ed il confort della paziente.


    Realizzazione del Mock Up
    Per meglio valutare l'integrazione del futuro manufatto nel complesso architettonico della bocca e nell'armonia estetica del volto, andiamo a riprodurre, nella bocca stessa della paziente, la forma determinata in laboratorio.
    Questo fondamentale passaggio, che prende il nome di mock up, viene eseguito realizzando una mascherina in silicone e "stampando" le nuove forme, con resine composite del colore adeguato, direttamente sui denti. Questo passaggio ci da la possibilità di valutare esattamente il risultato finale del nuovo sorriso.


    Controllo funzionale
    Le correzioni così realizzate, vengono lasciate nella bocca della paziente per qualche giorno per dar modo di valutare, oltre all'estetica, anche la funzione e la fonetica e per permettere all'odontoiatra di effettuare le opportune modifiche.





    Estetica del volto
    Controllo dell'armonia delle nuove linee del sorriso in relazione al volto.





















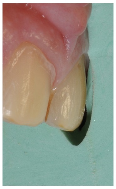
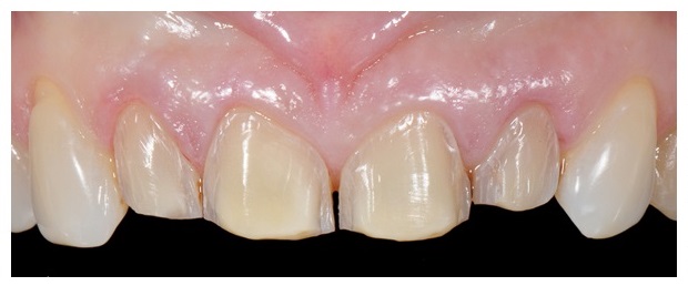
    Preparazione dei denti
    Il passaggio fondamentale per mantenere le informazioni tecniche fin qui ottenute è quello della realizzazione di "mascherine guida" che l'odontoiatra utilizzerà per rimuovere, dagli elementi dentali, la minor quantità possibile di materiale e, contestualmente, per verificare che l'odontotecnico abbia a disposizione spazi adeguati per la realizzazione delle faccette.
    Si noti come i margini della preparazione vengano mantenuti all'esterno del contorno gengivale.
    Ciò è possibile grazie alla perfetta trasmissione della luce delle ceramiche utilizzate che garantisce l'invisibilità dei margini di preparazione.
    In questo modo i profili delle faccette non interferiscono in alcun modo con la delicata biologia del solco gengivale.





































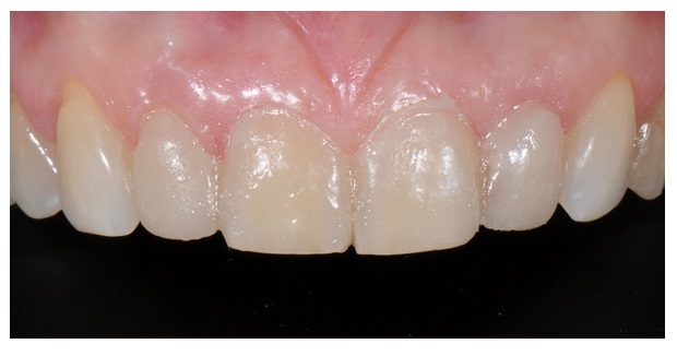
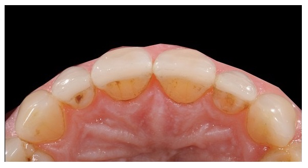
    Realizzazione delle faccette
    Le faccette realizzate in laboratorio vengono inviate all'odontoiatra per la prova in bocca allo scopo di controllare le forme ed i colori definitivi.


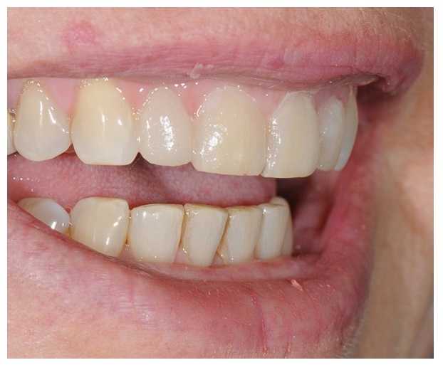
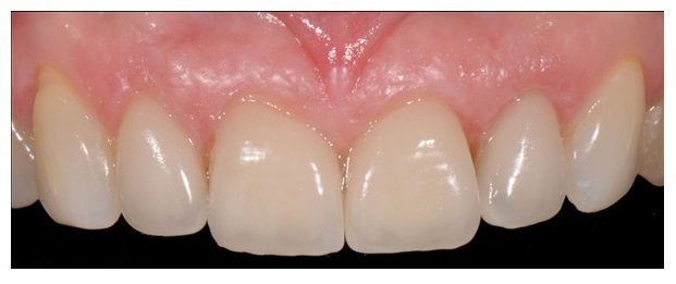
    Cementazione
    Le faccette vengono cementate con tecniche adesive e la paziente può finalmente dar sfogo alla propria soddisfazione.