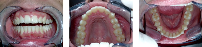
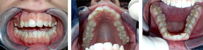
I NOSTRI CASI INVISALIGN

CASO 1

Il caso è stato risolto con Invisalign Lite, una versione della metodica che prevede al massimo 14 allineatori.
Il risultato, mostrato nelle immagini, è stato ottenuto in soli 7 mesi di trattamento.
In basso è mostrato il filmato della programmazione iniziale.


.

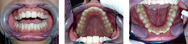
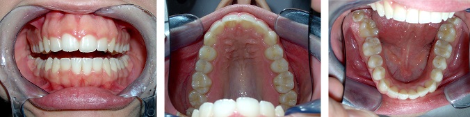
CASO 2

Il caso è stato risolto con Invisalign Full, la versione completa della metodica che utilizza un numero di allineatori superiore a 14.
In questo caso, il risultato mostrato nelle immagini, è stato ottenuto in 12 mesi di trattamento.
In basso è mostrato il filmato della programmazione iniziale.

.